
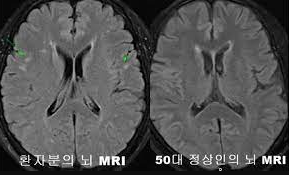
치매 (dementia)
뇌의 인지기능 장애로 일상 생활을 스스로 유지하지 못하며는 '퇴행성 뇌질환' 또는 뇌혈관계 질환 이다.
그로 인해 기억력, 언어능력, 지남력(현재 자신이 놓여있는 상황) 판단력, 및 수행능력 등 기능이 저하되며 일상생활에 지장을 초래 하는 '후천적 다발성' 장애 이며, 일상생활을 제대로 수행을 못하는 임상증후군을 말한다.

치매종류
혈관성 치매
알츠하이머 치매
루이체 치매
파킨슨 치매
알콜성 치매
뇌수종에 의한 치매
우울증으로 인한 치매
가역성 치매 등이 있다.
치매, 남성과 여성의 차이
세계적인 통계학적으로 남성보다 여성이 치매 발병률이 2배이상 높다고 한다.
여성이 남성보다 치매 발병률이 높은 이유는 여성호르몬의 감소때문이다.(즉 폐경)
여성이 폐경기에 접어들면 에스토르겐 수치가 급감하여 산화 스트레스를 늘려 뇌 노화를 가속화 하고 인지장애를 초래 한다고 한다.

폐경기에 남, 여 를 비교하면 남성보다 여성이 대뇌 안쪽의 신경세포를 연결하는 섬유망이 깔려있는 부분인 '백질'이 손상되는 진행속도가 빨라진다고 한다.
오랜시간 걸쳐 백질이 손상되면 신경세포 사이에 신호 전달이 끊어져 치매 뇌졸증 위험이 커지는 것이라 한다.


남자들은 만70세가 되어야 남성호르몬이 절반으로 줄어들며, 여성보다 갱년기가 늦게온다.
경년기가 오는시기(제2의 사춘기)
경년기의 시기라함은 폐경오기전 5년, 폐경된후 5년,을 통틀어 10년을 갱년기라 한다.
여성들은 30대 중 후반부터 여성 호르몬이 떨어지기 시작한다.
그로인해 열감, 무기력, 피곤함, 여기저기 아픔, 등의 증상들이 나타나기도 한다.
(각 개인이 느끼는 차이는 다를다)
폐경이 시작되면 여성상을 잃어 버렸다는 것에 대하여 집착을 하지말고 자연스럽게 받아들여 자연에 순응 하는게 중요하다고 한다.
미국 FDA는 여성폐경이 되었을때 '여성호르몬 투여' 를 자제 하라고 권고 하고있다. 여성호르몬 투여시 '유방암' '자궁암' 에 걸릴 확률이 매우 높으므로 자연적인 현상에 순응하는것을 권장한다.



치매진단 간단한 방법
시계를 그려보게 한다.(시간의 분, 초가 정확하게 그려지는가를 확인한다.)
가족의 생일을 잃어버리것과 잊어버리는것을 체크한다 (즉, 잃어버리는것은 건망증, 잊어버리는것은 치매이다. 잊어버리는것은 그사람을 기억을 못한다는 것이다.)


치매 초기 전조 증상
수면장애, 언어장애, 손발저림, 입맛의 변화, 감정의 변화, 물건사재기, 움직임이 느려진다. 등의 증상이 나타난다.







간단한 치매예방
밥을 꼭꼭 오래 씹어 먹는다.
춤(댄스)을 배운다. (춤은 유산소 운동이면서 춤의 동작 순서를 외워야하고, 음악으로 인하여 스트레스가 낮아진다.)
눈운동을 많이한다.(눈동자를 굴리므로 혈액순환이 잘되어 뇌가 활성화 되고 좋아진다.)
그외도, 박수치기, 손운동, 두팔운동, 한팔운동, 온몸박수(몸을 살살 두드림)
| 3多 | 3食 | 3休 |
| 많이 씹어라 | 뇌도 일하지말고 쉬어라, 멍, 때리기 |
|
| 낮에는 햇볕 쬐고, 밤에는 꿀잠자기 |
브렌드 푸드, 紅蔘(홍삼)을 먹어라 | 하루에 TV 4시간 이하로 시청하기 |
| 뇌 근육 키우기 | 뇌를 힘들게 하니마라 (쉬어라줘라) |
2022.11.06 - [건강 이야기] - 홍삼 효능 (면역력, 자가면역질환, 아토피 피부염에 얼마나 좋은가?)
홍삼 효능 (면역력, 자가면역질환, 아토피 피부염에 얼마나 좋은가?)
홍삼은 인삼을 아홉번 찌고 말리기(구증구포)를 반복하면 붉은 삼이된다. 이것을 홍삼이라 한다. 홍삼의 유래는 고래시대에 중국으로 부터 고려인삼이 유명하여, 고려시대 상인들이 인삼을 중
sharinghappy.tistory.com
2023.09.12 - [스타 이슈] - 윤석화 - 뇌종양 투병 (ft.학력위조, pm쥬스, 가족, 개인전, 프로필)
윤석화 - 뇌종양 투병 (ft.학력위조, pm쥬스, 가족, 개인전, 프로필)
윤석화 프로필 출생 1956년 1월 16일 (67세) 본관 파평 윤씨 학력 이화여자대학교 병설 금란여자고등학교 (졸업) 종교 = 개신교 데뷔 1975년 민중극단 소속사 = 마디픽쳐스 윤석화는 수많은 연극 뮤지
sharinghappy.tistory.com
2021.12.06 - [건강 이야기] - 식품 동의보감 _ 잘 먹어야 건강하다
식품 동의보감 _ 잘 먹어야 건강하다
"식이위천(食而爲天)" 말이 있다. 이 말은 음식이 소중함을 잘 표현하고 있다. 음식을 먹는 것은 본능에 속하는 일이면서 생명활동의 근원인 동시에 먹는 즐거움 또한 안겨주는 것이다. 중국에서
sharinghappy.tistory.com
2023.08.28 - [스타 이슈] - 강호동 프로필 (ft. 와이프, 아들, 스승, 재산, 출연료, 골프, 강쿠자 ?)
강호동 프로필 (ft. 와이프, 아들, 스승, 재산, 출연료, 골프, 강쿠자 ?)
강호동 프로필 출생 1970년 7월 14일 (53세) 고향 경상남도 진양군 이반성면 길성리 평동마을 거주지 서울특별시 강남구 압구정도 본관 진주 강씨 신체 183cm, 109.7kg, 혈액형 O MBTI = 알려진게 없음 학
sharinghappy.tistory.com
2022.11.14 - [분류 전체보기] - 허리통증 완화 방법 (요추염좌와 디스크 구별은 어떻게??)
허리통증 완화 방법 (요추염좌와 디스크 구별은 어떻게??)
허리통증은 사람들이 살면서 가장 흔하게 하는 경험이고, 사람들의 70 ~ 90%가 한번이상은 허리통증을 경험한다는 통계가 있다. 허리통증은 나이가 들면서 더심해지는 경우가 많다. 자고 일어난
sharinghappy.tistory.com
'건강 이야기' 카테고리의 다른 글
| 홍삼 - 효능 / 면역력 개선 /자가면역질환 / 아토피 피부염에 효과) (0) | 2022.11.06 |
|---|---|
| 췌장암 - 증상, 조기발견, 생존율, 좋은음식 (0) | 2022.11.06 |
| 비파(열매)- 효능, 성분, 비타민A 의 모체, (0) | 2022.10.20 |
| 무화과 - 꽃이 없는 꽃 / 단백질분해 / 회충 신경통의 약제 (0) | 2022.10.20 |
| 식품 동의보감 - 잘 먹어야 건강하다 (ft. 식이위천) (0) | 2021.12.06 |
댓글